What do you want to ask or share?
Sanjay Kumar Mondal

Oestotomy correction of right elbow ka 3month pahle hua tha pr Hand ka movement nahi ho paa raha hai physiotherapy bhi karwa rahe hai

...Read More
Churu rajasthan

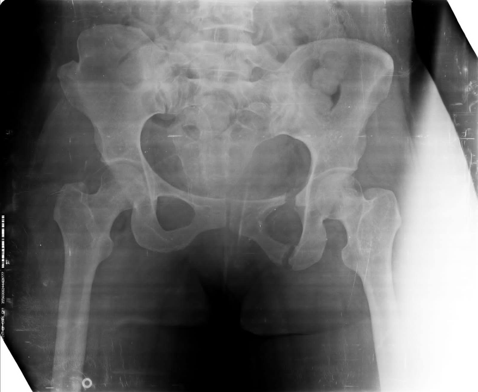
Hello sir my opresan time 3 month , at Apollo hospital guwahati me opresan hua h ,, aap btaiye kitna time lgega. Bone ready hone pr please sir aap btao exary dekh ke 

...Read More
Hari Shankar pareek churu rajasthan

Sir mere opresan ko 3 mhina ho gya h aab aap xray dekh ko btaiye per ready hone me kitna time lgega please sir 

...Read More
How much time take ot

How

My self savitamera accident hua tha 13th nov 

Mera fractur xray pls check karke bata dijiye kitna waqt lagega aur sab thik hone me right hand ka movement Jada nahi ho raha pls suggest

Aur sab pehele ke jaisa hoga ya nahi pls suggest 

 

 

 

...Read More

End of content

No more pages to load